Exocrine glands
Students revise some of the essential topics from parts of the SL course so that they are ready to explore the detail of epithelial cells and exocrine glands which are found in different forms all along the gastrointestinal tract. The structure of epithelial cells and the adaptations of cells for secretion of mucus or enzymes is covered using a gallery of diagrams and some questions.
Lesson Description
Guiding Questions
What do we already know about the structure of lining of the digestive system?
How does the body (brain) control the functioning of the organs?
What do we know already about enzymes?
Activity 1 - Review activity - in groups
Students work in small groups to research three topics previously covered in topic 2 and Topic 6.
Each group prepares a short review to the class using the
digestion review activity template resources below.
Summary resources can be found at these links.
- What do we know about the digestive system lining, using Intestine Structure & Function resources.
- Control of heartbeat using Controlling Heartbeat resources
- Enzymes theory using Enzyme Theory resources
Review questions

1. What does the layer called 'mucosa' do in the digestive system? ..
..................................................................
2. Are there any signs of glands in the mucosa? If so which cells?
..................................................................
3. Which part of the brain controls the pulse rate of the heart? ............................................
4. Which hormone has an effect on the heart, and where is it made? .....................................
5. Why do we change the pulse rate (could the heart beat fast all the time)? .........................

6. What is the role of enzymes in the digestive system? .................................................................................
7. How do enzymes work, and what are they made from? ...............................................................................
8. Where are digestive enzymes made? ..........................................................................................................
Activity 2 - What are exocrine glands? Where are they found?
Study the image below which illustrates two types of exocrine gland found in the digestive system.

Answer the following questions - which can also be found on the
Exocrine gland questions worksheet
Questions
1. Exocrine glands secrete mucous and enzymes into the lumen of the gut, where else can you find exocrine glands?
....................................................................................................................................................................
2. Glands are essentially made from folding the epithelium to from a tube or sac. Their shape and size is about the same, but there are differences in the numbers of different organelles.
Which organelles a likely to be more prominent in gland cells compared to surface epithelial cells? (2)
...................................................................................................................................................................
3. Annotate this gland cell to explain the functions of each organelle in the process of mucus production (5)

Click the eye icon to display some model answers.
More detailed answers can be found on this worksheet
Model answers
1. Exocrine glands secrete mucus and enzymes into the lumen of the gut, where else can you find exocrine glands?
............sweat glands in the skin, oil glands in skin (and hair), in the trachea / bronchi of lungs, in the reproductive tract, the pancreas, etc............
2. Glands are essentially made from folding the epithelium to from a tube or sac. Their shape and size is about the same, but there are differences in the numbers of different organelles.
Which organelles a likely to be more prominent in gland cells compared to surface epithelial cells?
..........rough endoplasmic reticulum (rER), Golgi apparatus, and secretory vesicles .....
3. Annotate this gland cell to explain the functions of each organelle in the process of mucus production (5)

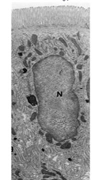
Activity 3 - Identification of gland cells and epithelium cells
This activity address the skill to identify exocrine gland cells that secrete digestive juices and villus epithelium cells that absorb digested foods.
Can you identify exocrine gland cells that secrete digestive juices or mucus and villus epithelium cells that absorb digested foods in the electron micrograph images below?
Record answers to the epithelial cell identification activity on
the gland and epithelial cells worksheet shown below.
Teacher's notes
Activity 1 is a useful beginning to this lesson if the SL topics of digestion were covered months ago. Work on the structure of the mucosa in the digestive system is covered in topic 6 and sets the ground for the detail of epithelial cells covered in option D.
Activity 2 Introduces the structure of exocrine glands and images are included to help a teacher to outline the structure of exocrine glands in different parts of the body and the special features these cells have.
I have recently improved the questions and made them into a printable worksheet, with model answers. Use the links in the page to see these files.
Activity 3 This activity helps students to learn how to distinguish between simple epithelial cells and secretory cells in villi. There is a gallery of images of epithelial cells and gland cells from the stomach and small intestines which have a worksheet to helps students to make some structured notes.
IB Docs (2) Team
