Chloroplasts and Photosynthesis
Where exactly is the chlorophyll found in a chloroplast? Students find the answer in this activity which begins by reviewing the simple explanations of the light dependent and the light independent reactions of photosynthesis covered in SL then asks questions to get students thinking about the structure of a chloroplast and how it helps the process of photosynthesis.
Lesson Description
Guiding questions
- Where is the chlorophyll found in the chloroplasts?
- What is the equation of photosynthesis?
- Why are there so many membranes in a chloroplast?
- How does the chloroplast convert sunlight energy into chemical energy - in glucose?
Activity 1 - Structure of a chloroplast & photosynthesis
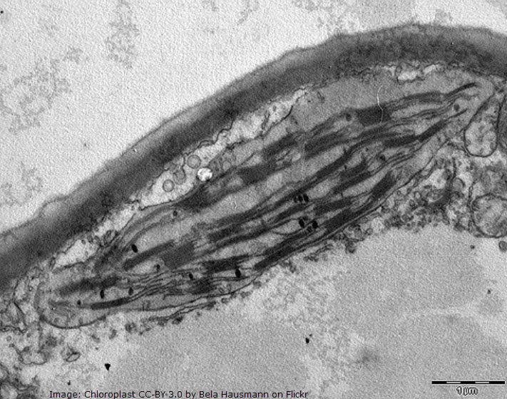
Why are there so many membranes in a chloroplast? How does the structure of a chloroplast help photosynthesis?
This diagram summarises the light dependent and light independent reactions of photosynthesis introduced in SL.

Use the information in the diagram to explore the role of some of the components of a chloroplast in photosynthesis.
Photosynthesis student worksheet
Activity 2: Adaptation of structure to the function of a chloroplast
The structure of the chloroplast is adapted to its function in photosynthesis.
- Light-dependent reactions take place in the thylakoid membranes and the space inside them.
- Light-independent reactions take place in the stroma.
.
Answer the following questions on the
Adaptations of chloroplasts student sheet using options from the tables below.
Questions
- Why is there so much membrane (thylakoid membrane) in a chloroplast?
| Possible answers | I'm sure it's true | I think it's true | I think it's wrong | I'm sure i's wrong |
| The membranes are green because they contain all the chlorophyll. | ||||
| Light is absorbed in the membranes. | ||||
| H+ ions build up in the membrane sacs for chemiosmosis to make ATP. | ||||
| The membranes provide a large surface area. |
......................................................................................................................................
- In the stroma there is lots of RuBP - a molecule which can attach to CO2.
What could be happening in the stroma?
| Possible answers | I'm sure it's true | I think it's true | I think it's wrong | I'm sure i's wrong |
| RuBP is capturing CO2 for photosynthesis. | ||||
| CO2 is being used in the stroma for reactions of photosynthesis. | ||||
| CO2 is the source of carbon to make a glucose molecule, C6H12O6. |
.....................................................................................................................................
IB style question:
Describe three adaptations of a chloroplast which help it do photosynthesis.
1 ………………………………………………………………………………………………………….
2 ………………………………………………………………………………………………………….
3 ………………………………………………………………………………………………………….
Suggestions for answers to the three adaptations:
- There is a lot of RuBP in the stroma which captures CO2 for photosynthesis.
- There are many membranes (Grana and thylakoids) which contain chlorophyll
- The thylakoids provide a large surface area for the absorption of light by chlorophyll
- A large concentration of protons builds up in the space inside the thylakoid membranes
.
Activity 3 - Take a look at light
Which wavelengths / colours of light are absorbed best by the photosynthetic pigments found in a chloroplast?
A graph showing the rate of photosynthesis in different wavelengths of light is called an absorption spectrum
Answer the following questions on the
Absorption spectrum student sheet using options from the tables below.
Teachers notes
This activity reviews the work about photosynthesis covered in the SL topic 2 but this time in the context of the structure of a chloroplast. The three activities in turn cover the structure of a chloroplast, its adaptations to the function being the site of photosynthesis and then the action spectrum of chlorophyll pigments.
Activity 1
Some students may need more time to remind themselves of the light independent and the light dependent reaction of photosynthesis. They will all need access to a text book which can explain the roles of the different components involved in photosynthesis.
Activity 2
This is a 'diagnostic test' style activity where students say how sure they are about some statements being made about chloroplasts. These statements lead students to make three statements about the adaptations of chloroplast structure.
There are model answers fo this activity in the hidden box on the page.
Activity 3
This is the simplest of the three activities and it covers the absorption and action specrum.
IB Docs (2) Team





