- Summary list for topic 1.2 Ultrastructure of cells
- Mindmaps
- Video tutorials
- Model answer
- Model answer
- Multiple choice questions
- 1.2 Ultrastrucure of cells quiz 1/1
Eukaryote cells are larger than prokaryote cells and they have a more compartmentalised structure since endosymbiosis led to the creation of organelles. There are two basic types to draw, eukaryote and prokaryote cells. In this topic it's important to be able to recognise organelles in cells and to suggest cell functions depending upon cell structure.Learn and test your biological vocabulary for 1.2 Ultrastructure of cells using these flash cards.
These slides summarise the essential understanding and skills in this topic.
They contain short explanations in text and images - good revision for all students.
Read the slides and look up any words or details you find difficult to understand.
These slides cover difficult parts of this topic - important if you are aiming for a high grade.
If grade 5 is your target, then save time, move on, study this information later, once you have revised the other topics.
Summary list for topic 1.2 Ultrastructure of cells
- Know and be able to draw the simple structure of Prokaryote cells
- Know and draw the compartmentalised structure of Eukaryotic cells.
- Understand that the resolving power of electron microscopes is between 10µm and 1nm
whereas light microscopes resolve details between 1mm and 1µm.
Skills and applications
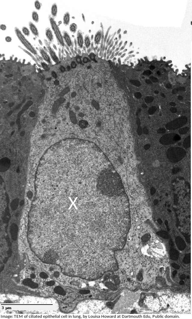
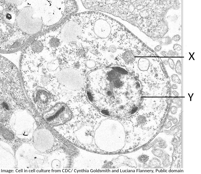
- Ability to identify organelles from microscope images of cells.
- Ability to explain how the composition of organelles will be different in cells with different functions,
(e.g. goblet cells which make mucus and palisade mesophyll cells which do photosynthesis). - Explain how the structure of prokaryotes allows them to divide by binary fission.
Mindmaps
This diagram summaries the main sections of topic 1.2 Cell ultrastructure.
Test if you can draw your own list or concept map from memory.
Video tutorials
How to draw a eukaryote animal cell diagram quickly in an exam.
How to draw a eukaryote animal cell in an exam. From David Faure on Vimeo.
How to identify organelles in electron microscope images and to explain how the structures relate to the cell's function.
Interpreting electron microscope images from David Faure on Vimeo.
This video help students to identify organelles and to make the link between cell structure and function.
Multiple choice questions
This self marking multiple choice quiz contains questions covering the topic.
START QUIZ!
Drag and drop activities
Test your ability to construct biological explanations using the drag and drop questions below.
Test your construction of biological knowledge using the drag and drop questions below.
Contrasting Eukaryote and Prokaryote cell structure.
Drag and drop the correct term into the gap to outline the differences between the cell structure of Prokaryotes and Eukaryotes.
plasmids 80s animal are always may nucleus 70s single multicellular mitochondria cell membrane chloroplasts naked protein membrane
Prokaryotic cells have a DNA whereas eukaryotic cells have chromosomes consisting of DNA and in a true membrane bound .
Prokaryotes are always celled whereas eukaryotes be .
Both eukaryotic cells and prokaryotes have ribosomes, but they are in prokaryotes and (larger) in eukaryotes.
Only eukaryotic cells have bound organelles such as and, in plant cells, .
Prokaryotes have cell walls; eukaryotic cells do not have a cell wall.
Explanation/Examiner hint. Contrast means to give the differences, using direct comparison.
Just for fun
Try this matching flashcards game.
If you can't see the content below, please click this link Ultrastructure of cells Quizlet matching game.
Alternatively try this Arcade game to practise the basics. Arcade game "Ultrastructure of cells".
How much of Ultrastructure of cells 1.2 have you understood?


































