This subsection looks at the human digestive system, its parts and functions are in this topic. This includes digestive enzymes, their optimum conditions, substrates and products, as well as detailed structure of villi and microvilli in the small intestine.
Key concepts
Learn and test your biological vocabulary for 6.1 digestion and absorption using these flashcards.
Essentials
These slides summarise the essential understanding and skills in this topic. They contain short explanations in text and images - good revision for all students.
Read the slides and look up any words or details you find difficult to understand.
Summary
Summary list for 6.1 Digestion and absorption
The outline structure of the digestive system (skill - annotated diagram).
Food is mixed with enzymes and moved along by the contraction of circular and longitudinal muscle of the small intestine.
Enzymes (amylase, lipase and an endopeptidase) are secreted by the pancreas into the small intestine where they digest macromolecules ( starch, glycogen, lipids and nucleic acids) in food into monomers.
Tissue layers in the intestines include longitudinal and circular muscles, mucosa and epithelium.
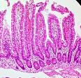
The presence of Villi in the small intestines increases the surface area of epithelium and helps absorb the monomers formed by digestion and mineral ions and vitamins.
Different nutrients are absorbed into epithelial cells by different membrane transport mechanisms.
Skills
Apply knowledge of the process or digestion and absorption in the small intestine to the digestion of starch and the transport of maltose and glucose to the liver.
Describe your experience of the use of dialysis tubing as a model of the intestines.
Draw an annotated diagram of the digestive system.
Identify tissue layers in transverse sections of the small intestine.
This question tests an understanding of enzymes involved in digestion.
Answer the question below on a piece of paper, then check your answer with the model answer.
Compare and contrast the digestion of starch and lipids in the small intestine. (5 marks)
Compare and contrast – similarities and differences. Put both comparators in the same sentence (e.g. a mammal has fur; a bird has feathers. Both mammals and birds have pentadactyl limbs.)
Click the + to see a model answer.
Model answer
Compare and contrast the digestion of starch and lipids in the small intestine. (5 marks)
Both starch and lipids are hydrolysed using water to split up the polymer into smaller units.
Both are hydrolysedby the addition of water
Lipids and Starch are both digested in the small intestine by enzymes from the pancreas.
Lipase hydrolyses lipids and amylase breaks down starch.
The digestion of starch involves two enzymes, digestion of lipids uses one enzyme.
Amylase splits the polymer starch into dimers of maltose; maltase then hydrolyses maltose to glucose (monomers).
Lipids are hydrolysed by a single enzyme, lipase, into fatty acids and glycerol.
You could use a table for the differences:
Starch
Lipids
Amylase breaks down starch.
Lipase hydrolyses lipids
Extra exam question on absorption in the intestine.
This question tests an understanding of structure and function of the villi of the small intestine.
Answer the question below on a piece of paper, then check your answer with the model answer.
Outline the functions of the villi of the small intestine. (5 marks)
Examiner hint; outline the main points in short sentences.
Click the + to see a model answer.
Model answer
Outline the functions of the villi of the small intestine. (5 marks)
Large surface area for absorption.
Project into the gut for close contact with digesting food.
Absorb products of digestion.
Absorb vitamins and minerals.
Capillary network to absorb nutrients into the blood.
Lacteal to absorb products of lipid digestion.
Test yourself
This is a self marking quiz containing questions covering the topic outlined above. Try the questions to check your understanding
1. Drag the labels to the gorrect place on the diagram below
mouthpancreasanussmall intestineliverstomach large intestineesophagus
A:
B:
C:
D:
E:
F:
G:
H:
Write a list of the ones you got wrong.
Try to sketch a diagram and place these organs into the digestive system.
Then try this question again.
2. Which row in the following list gives the correct functions of the enzymes named?
Amylase breaks down starch
Endopeptidase breaks the peptide bonds in polypeptides
Lipase breaks down triglycerides into fatty acids and glycerol
3. Which of the following best describes the process of peristalsis?
Circular muscles tighten and close the lumen of the intestines, then longitudinal muscles in the wall of the intestines contract pushing the partly digested food along the tube.
4. Which of the following best describes the role of the villi in the small intesines
Villi absorb nutrient molecules in a variety of ways including, diffusion, facillitated diffusion and active transport. The also increase the surface area of the epithelium of the small intestines. Goblet cells within this epithelium produce mucus, but it is not moved along by the villi.
Food is moved along the digestive tract by peristalsis
Which of the following are involved in producing the process of peristalsis?
The contraction of circular and longitudinal muscle moves food along the digestive system
Peristalsis moves food, as it is being digested, along the intestines.
How does this movement help digestion?
As well as moving food along the digestive tract, peristalsis helps to mix the food with enzymes.
Which of the enzymes below are secreted by the pancreas?
The pancreas secretes digestive enzymes, including protease (trypsinogen), lipase, and amylase.
Interestingly - the pancreas also produces an enzyme, "phospholipase" which catalyses breakdown of phospholipids. (not required for IB)
The islets of the pancreas are involved in glucose control, but this is not a role in digestion.
What is the advantage of villi and microvilli increasing the surface area of epithelium in the small intestines?
The larger the surface area of epithelium the faster the rate of absorption is..
Which of the following statements best describes the molecules which are absorbed by villi, in the small intestines?
Large macromolecules cannot be absorbed by villi. Monomers are smaller molecules and are absorbed by the villi.
The term nutrients includes both monomers and macromolecues, so is less precise.
The diagram shows a representation of several layers in the wall of human intestines.
What is the name of the layer labelled X.
Villi are found in the layer called mucosa, and the layer beneath the mucosa is the submucosa.
What is the fate of cellulose in the human digestive system?
Humans don't make enzymes to digest cellulose. Bacteria can digest cellulose in the human intestines, but much of the cellulose eaten is undigested. It is sometimes called 'Fibre'.
Drag and drop activities
Test your ability to construct biological explanations using the drag and drop questions below.
The intestinal epithelia uses different methods of transport to move substances into the epithelial cells from the gut lumen.
Active co-transport is used to absorb hydrophilic organic molecules into the gut epithelium from the lumen.
Lacteals in the small intestine
Drag and drop the correct word or phrase into the gap to describe the absorbtion of glucose and amnio acids by the intestinal epithelium.
Glucose is so cannot pass through the of the membrane. Glucose is absorbed by a combination of transport and diffusion by the sodium-glucose co-transporter protein. The sodium pump situated in the epithelia actively pumps Na+ into gut lumen. These with glucose and then to the in the membrane of the villus epithelium. Sodium ions coupled to glucose diffuse back into the cell through the protein . The glucose then moves through pores between the capillary cells to be very rapidly into the blood.
Amino acids are also absorbed in this way but by a variety of transporter proteins to amino acid.
Active transport moves sodium ions, once these combine with glucose or amino acids, they pass passively through channel proteins, hence co-transport. Transporter proteins are specific to particular amino acids or to glucose.
Click the '+' symbol to open the next explanation.
Extra drag and drop explanation on absorption of water, minerals, vitamins and lipids in the small intestine click to open.
Water, vitamins, minerals and lipids are also absorbed in the small intestine.
Drag and drop the correct word or phrase into the gap to outline how these molecules are absorbed into the intestinal epithelial cells.
Protein in the epithelial membrane allow substances to diffuse into the intestinal cells by facilitated diffusion without the use of . Some monosaccharides, ions and are absorbed this way.
The pores are to the substance they transport.
Water moves into the intestine cells by aided by the absorption of .
Lipids and fatty acids are hydrophobic and can pass by through the layer of the intestinal mucosa membrane.
Liquid droplets are also taken into cells by using invagination of the membrane and the formation of .
Hydrophilic molecules cannot pass through the intestinal cell membranes. Protein channels are used, the inside of the channel is hydrophilic.
Just for fun
A little bit of fun to revise the digestion topic. Can you make it to the leader board? If you can't see the content below, please click this link to Digestion card match game
MY PROGRESS
How much of Digestion & absorption 6.1 have you understood?
Feedback
Which of the following best describes your feedback?