Topic 1: Cell biology 
This page contains multiple choice questions in the style of Paper 1 of the Biology exams.
They test the breadth of your knowledge of the understandings and skills about cell biology.
To spend more time reviewing the topic before answering these questions, use the revision resources.
Cell biology revision resources
This page lists the understandings and skills expected for Topic 1 and links to the sub-topic pages which contain detailed revision notes, activities and past paper style questions. Great for revision.
Learn from any mistakes. Every question has an examiner's explanation that appears when you check your answers.
The 64 codons of mRNA code for the same amino acids in almost all species. A rare exception is found in Paramecium where one of the "stop codons" actually codes for the amino acid glutamine.
What does this suggest about the origin of cells?
The 64 codons in the genetic code give rise to the same amino acids in nearly all organisms, There is very little variaion. If the genetic code had evolved several times in the history off life, there would be many differences.
The 64 codons in the genetic code give rise to the same amino acids in nearly all organisms.
There is very little variaion. This is evidence for a single common origin of life.
Differences in the frequency of amino acid use reflects the different genes in the two organisms.
Which cells are produced when a diploid cell divides by mitosis?
Mitosis is division of the nucleus into two genetically identical daughter nuclei in eukaryote cells.
A diploid cell will produce two diploid daughter cells in one division of mitosis.
The DNA of eukaryote cells is organised into chromosomes
What happens to the DNA at prophase in the beginning of mitosis?
Chromosomes condense by supercoiling during mitosis. This makes the chromosomes visible.
The DNA replicates during interphase, not prophase.
The microscope image shows cells in a tissue sample taken from a growth suspected of being cancerous.

What is the best estimate of the mitotic index of this tissue?
Assume that there are exactly 60 cells (for simplicity).
Skill: Determination of a mitotic index from a micrograph
There are 3 cells in stages of mitosis.
So the mitotic index = 3 divided by 60 cells total.
Keeping it simple = 1 / 20 or 0.05
What effect does reducing the amount of cholesterol in a cell membrane have on its properties?
Cholesterol is a component of animal cell membranes. Application: Cholesterol in mammalian membranes reduces membrane fluidity and permeability to some solutes.
Why is it that prokaryotes can divide by the simple process of binary fission, but eukaryotes have to divide by the more complex process of mitosis?
To explain how the structure of prokaryotes allows them to divide by binary fission you could mention:
- Prokaryotes have a single chromosome, eukaryotes have multiple chromosomes
- Prokaryotes have no nuclear membrane, which eukaryotes have.
What is the importance of surface area to volume ratio to cells?
Surface area to volume ratio is important in the limitation of cell size. The lager the volume, the greater the need for materials which have to be exchanged over the surface of the cell.
The electron microscope image below shows a scale bar marked with 100µm.
The large 'goblet cell' in the centre is producing mucous which will protect the surface of the epithelium.

What is the diameter of the goblet cell?
Accurately, measure the scale bar length in mm, measure the diameter of the cell, in mm
divide cell diameter by scalebar and multiply by 100µm.
You can often estimate the size using the scale bar and your thumb or a pen.
The blood cells below were imaged using an electron microscope.
The magnification is x3000 and the ruler measures the central cell as being 2 cm in diameter.

Estimate the actual size of this white blood cell.
Calculate specimen size using magnification?
First change the size measurement into µm units = 20000µm
Then divide by the magnification. 20000 / 3000 = 20 / 3 = 6.6 µm
Stargarts disease, which causes loss of cells in the retina can be treated using a special type of human cell.
Which of the following is used because it is still able to differentiate?
Stem cells can differentiate and become specialised cells.
They often take on the features of the cells around them.
Rod cells, cone cells, and erythrocytes are specialised cells and cannot differentiate.
Which label in the image below shows the process of endocytosis?

Endocytosis is the process where a substance is surrounded by the plasma membrane which forms a vesicle inside the cell that then moves into the cytoplasm, separating from the plasma membrane.
Which of the following could be used to distinguish a living from a non- living object
Comment: Inanimate objects can move, produce and utilise energy but the process of respiration is exclusive to living systems
Which of the following are methods by which molecules can move across membranes?
I. Simple diffusion
II. Facilitated diffusion
III. Cytokinesis
IV. Active transport
There are actually four types of membrane transport which are required in DP Biology, Simple diffusion, facilitated diffusion, osmosis and active transport.
The image is of a prokaryotic cell. Which feature defines the cell as prokaryotic?

The lack of a membrane bound nucleus (nucleoid) classifies a cell as prokaryotic.
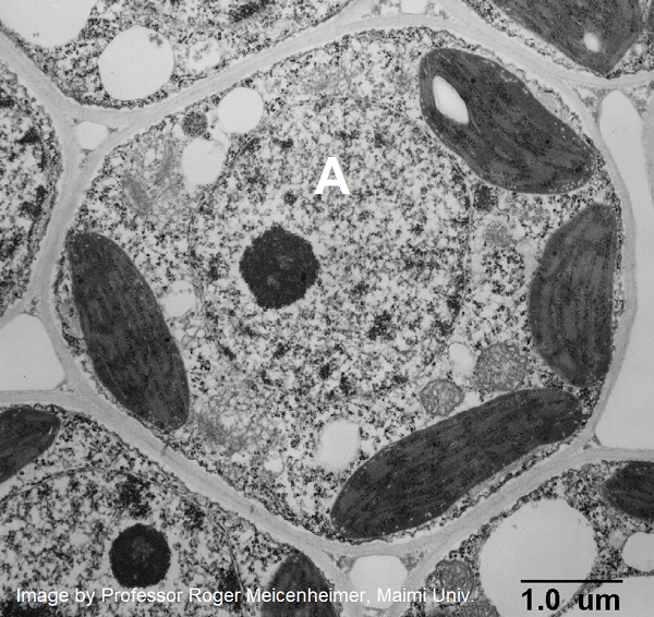
The image shows a transverse section of a plant cell seen using an electron microscope.
What is the main function of the large organelle (A) seen in the cell?

The organelle shown is the nucleus, it stores the genetic information, DNA and is the location of DNA replication and Transcription.
Protein channels cross the membrane to allow hydrophilic substances to pass through the membrane.
Which process is involved in white blood cells engulfing bacteria (arrowed in the photomicrograph)?

White blood cells engulf bacteria by endocytosis, the intake of solid particles by a cell membrane.
Identify the stage of mitosis of cells 1 and 2

In cell 2, the chromatids are aligned on the equator (seen from above)- Metaphase. In cell 1, the chromatids are moving towards the poles - Anaphase.
The image below was taken in 1825 and shows part of the cell cycle.

What is shown in the image?
Cytokinesis occurs after mitosis in plant and animal cells.
Animal cells form a cleavage furrow (looks like a wasps waist) as they don't have cell walls.
The two daughter cells are the same size, so cytokinesis is equal.
Refresh this page to try a new set of 20 multiple choice questions. The questions will be different next time you visit. Great revision.
How much of Topic 1 Cell Biology Paper 1 questions have you understood?
